15 Sau 2026 2026-03-06 Specialus burnos higienos pasiūlymas Klaipėdoje Profesionali burnos higiena + asmeninė dantų priežiūros rutina – 59 € (vietoje 84 €)Su nuolaidos kodu: DENTICIJA PBH 59 Graži... Tęsti skaitymą
13 Sau 2026 2026-03-06 Specialus klinikos atidarymo pasiūlymas burnos higienai Vilniuje Profesionali burnos higiena – 59 € (vietoje 89 €) Graži ir sveika šypsena prasideda nuo reguliarios burnos higienos. Ši... Tęsti skaitymą
28 Lap 2025 2026-03-06 Kelias į šventišką ir spindinčią šypseną Didžiosios metų pabaigos šventės yra kupinos geros nuotaikos ir šypsenų. Kaip jas paversti dar žavesnėmis ir kaip tam... Tęsti skaitymą
20 Rgs 2024 2026-03-06 Kaip elgtis po profesionalios burnos higienos? Maistas ir gėrimai Nevalgykite ir negerkite (išskyrus vandenį) apie 1 val. po procedūros. 1–2 val. nevalgykite ryškių, spalvotų... Tęsti skaitymą
11 Lie 2024 2026-03-06 Ką reikia žinoti apie burnos sveikatą? Gera burnos sveikata šiais laikais yra ne tik dantų sveikata, bet atspirties taškas bendrai mūsų kūno sveikatai ir... Tęsti skaitymą
29 Bal 2024 2026-03-06 Dantų balinimas „Beyond“ sistema + profesionali burnos higiena Pasinaudokite išskirtine galimybe turėti akinančiai baltą šypseną. Dantų balinimas „Beyond Polus“ sistema + profesionali burnos higiena tik 250... Tęsti skaitymą
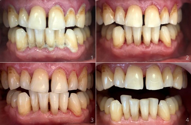
19 Kov 2024 2024-03-19 Komandinio darbo rezultatas – sveiki dantys ir daili šypsena Kraujuoja dantenos, jos – ryškiai raudonos spalvos, kamuoja nemalonus burnos kvapas. Jums tai žinoma? Burnos higienos specialistė Deimantė... Tęsti skaitymą
29 Geg 2023 2026-04-16 Profesionali burnos higiena tik 45 Eur Pasirūpink savo dantų higiena ir rezervuok laiką jau dabar, nes visą vasarą Kauno Denticijoje profesionali burnos higiena tik... Tęsti skaitymą
06 Bal 2023 2026-03-06 Kelias iki gražios šypsenos: tiesinimas, balinimas, estetinis plombavimas ir laminatės Gražūs sveiki dantys, tai ne tik sveikata, bet ir patogumas, daugiau pasitikėjimo savimi bei drąsa šypsotis plačiai visada,... Tęsti skaitymą
30 Sau 2023 2023-01-30 Dantų valymas su elektriniu dantų šepetėliu: ką reikėtų žinoti? 1954 m. Šveicarijos gydytojas odontologas Philippe-Guy Woog sukūrė elektrinį dantų šepetėlį žmonėms, turintiems judėjimo negalią bei žmonėms, kurie... Tęsti skaitymą